Start the Year with a Clear Picture: Why Dental X-Rays Matter for Kids

A new year is the perfect time to reset routines, schedule checkups, and make sure your child’s smile is off to a healthy start. One of the most important tools we use during dental exams is something many parents understandably ask about: dental x-rays.

At Smiles For Kids, we take radiation exposure seriously while also recognizing how essential x-rays are for catching problems early. Every child is unique, so the frequency of x-rays depends on individual cavity risk. At each visit, we carefully evaluate factors like plaque buildup, brushing and flossing habits, nighttime feeding practices, sugar and acid exposure, family dental history, spacing between teeth, enamel quality and any previous cavities.

Because one of the most common places for cavities to hide is between the back teeth, bitewing x-rays allow us to see areas a visual exam simply can’t. Some children have no visible signs of decay, yet x-rays reveal significant cavities that would otherwise go unnoticed until they become painful or require more complex treatment. Catching decay early helps us keep baby molars (important for chewing and guiding permanent teeth) healthy until they naturally fall out around ages ten and twelve.

Our digital x-ray technology delivers extremely low radiation, and we always use lead aprons for added protection. Additional x-rays may be recommended to evaluate extra or missing teeth, trauma, root health, anomalies or unusual findings.

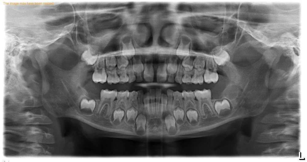
We also take panoramic images at key ages (around 7, 12, and 17) to assess permanent tooth development, jaw growth, wisdom teeth, and any hidden concerns such as cysts or altered tooth position. Early detection allows us to coordinate care with orthodontists and other specialists, minimizing future problems.

As we welcome the new year, we’re here to answer your questions and ensure your child’s smile is healthy, bright, and ready for the year ahead.

Bitewing

Panoramic

Previous
Previous

November Cavity-Free Winner!

Next
Next

Winter Contest!